That ‘why didn’t I do this years ago’ feeling – transforming a patient’s smile in time for her daughter’s wedding
At The Essex Smile Centre, we take pride in helping our patients achieve their dream smile at any age and where possible, in time for life’s most important moments. Most recently, our talented Dentist Dr Sukh Bansal, was delighted to be able to help a mature patient of ours achieve a brighter and more confident smile in time for her daughter’s wedding.
The Challenge
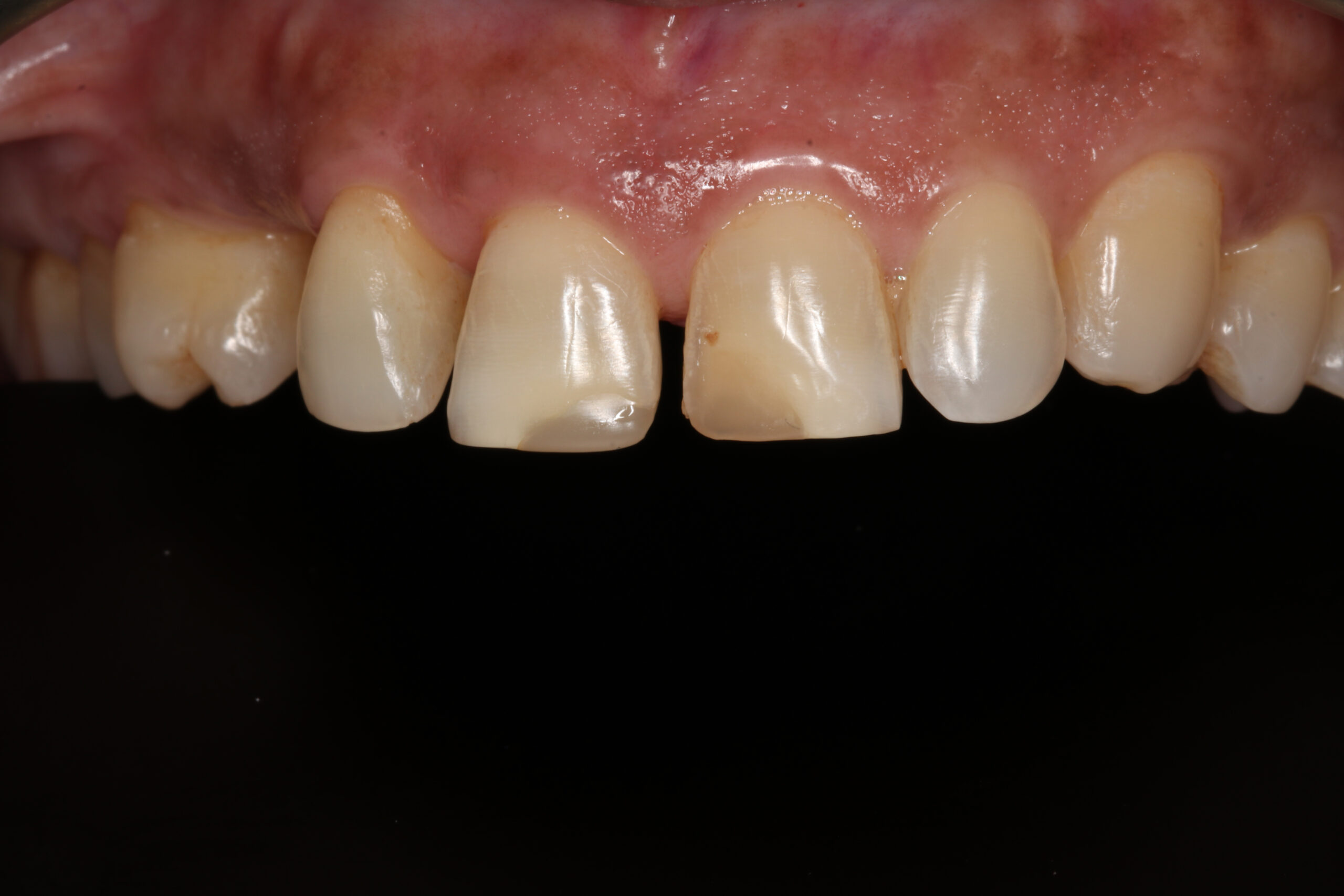
Our patient had wanted to improve the appearance of her smile for some time. Her teeth were worn and discoloured with spacing throughout, all of which had been affecting her self-confidence. With her daughter’s wedding fast approaching, she sought the expert help of our dentists so she could enjoy this momentous occasion without feeling self-conscious about her smile.
Our Solution: Ceramic Veneers & Tooth Whitening
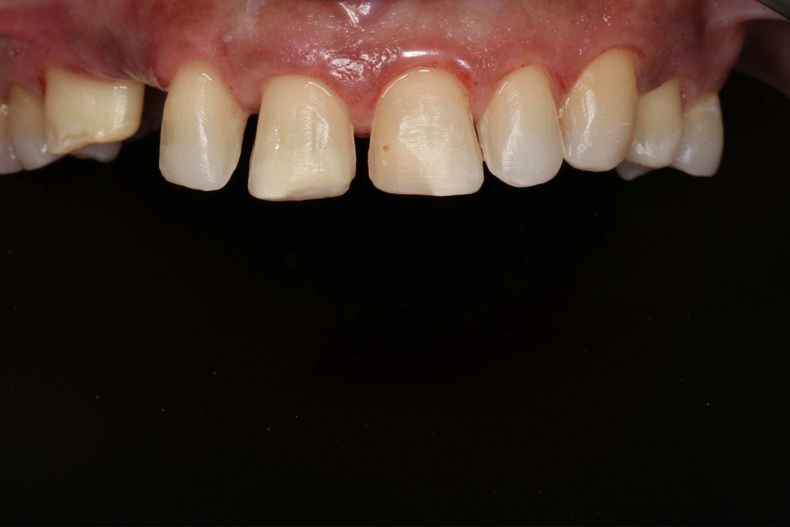
After a comprehensive consultation with Dr Sukh, he recommended a combination of ceramic veneers and professional tooth whitening. The veneers would correct the spacing and discoloration of her front teeth, while whitening would enhance their brightness. A dental bridge would also be fitted to replace a missing canine, improving the overall appearance and functionality of her smile.
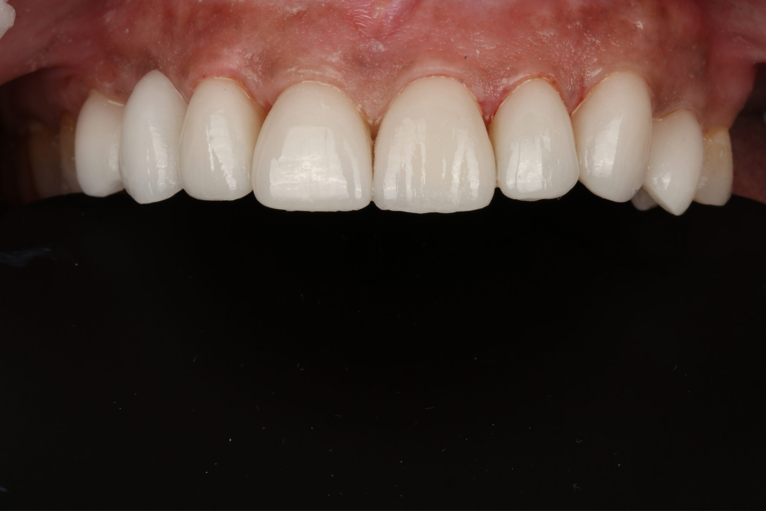
Seven of her front teeth were veneered to give an even, healthy and natural look from all angles. We were also able to complete the treatments over the course of just a few appointments which meant her new smile was ready well in time for the big day!
The Result: A Beautiful, Natural Smile
When the day of her final appointment arrived, our patient was overjoyed with the results. Her new smile was bright, balanced, and complete — a transformation so big, she couldn’t believe she hadn’t done it sooner!
She left our practice beaming with newfound confidence, free from concern over the appearance of her teeth and looking forward to her daughter’s wedding day with even great excitement than before.
The Impact
Our patient’s story is a wonderful reminder of the transformative power of cosmetic dentistry at any age. Seeing how happy she was at the sight of her new smile was incredibly rewarding for Dr Sukh and our team and we’re so pleased to have boosted her confidence for years to come.
- SMILE BEFORE
- BEFORE PREP
- AFTER PREP
- SMILE AFTER
If you’ve been considering a smile makeover, now is the perfect time to speak to our team and explore your options! Call us on 01268 742 333 or email reception@the-smilecentre.co.uk.




